”Chimioterapia si urgenta oncologică: atunci când timpul devine adversar
În Oncologie există momente în care boala nu mai oferă răgaz. Evoluează rapid, agresiv, destabilizează pacientul și transformă o situație dificilă într-o urgență vitală.
În astfel de contexte intervenim prin ceea ce numim chimioterapie de urgenta — o strategie terapeutică utilizată în situații critice, cu obiectiv precis: reducerea rapidă a masei tumorale, controlul complicațiilor amenințătoare de viață și stabilizarea pacientului.
Nu este o terapie de rutină.
Nu este o decizie automată.
Este o intervenție calculată, asumată și fundamentată pe experiență clinică solidă.
Chimioterapia in situații de urgenta presupune evaluare rapidă, discernământ medical și capacitatea de a acționa atunci când fiecare oră contează. Diferența dintre a amâna și a interveni poate însemna diferența dintre agravare și stabilizare.
Spitalul Municipal Curtea de Argeș este una dintre puținele unități sanitare din județ unde astfel de situații pot fi gestionate în siguranță și cu rezultate impresionante.
În cadrul Compartimentului de Oncologie pe care îl coordonez, ma confrunt frecvent cu situații care necesită decizii rapide, asumate și intervenții terapeutice energice. Acționăm atunci când există o fereastră terapeutică reală — și o folosim.
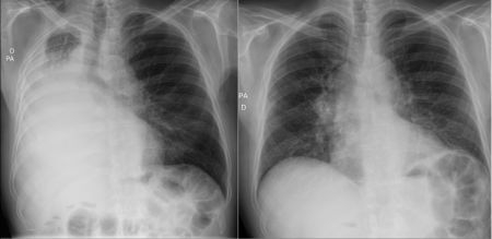
Cazul de fata este al unui pacient de 76 de ani, diagnosticat recent cu un carcinom pulmonar cu celule mici, adus la camera de garda cu insuficiență respiratorie acută. Radiografia toracică evidenția atelectazie masivă a plămânului drept — o situație critică, cu risc vital imediat. Am decis inițierea promptă a chimioterapiei. La 72 de ore, controlul radiologic a arătat reexpansiune pulmonară semnificativă, cu ameliorare clinică evidentă. O intervenție rapidă, corect indicată, a transformat o urgență majoră într-o situație stabilizată.
Oncologia nu înseamnă doar protocoale.
Înseamnă responsabilitate, curaj medical și capacitatea de a interveni exact la momentul potrivit,” transmite Dr. Marius Pirciu, Medic Specialist Oncologie Medicală, Coordonator Compartiment Oncologie, Spitalul Municipal Curtea de Argeș


Lasă un răspuns